Chiều 30-9, Bệnh viện Nhi Đồng 2 (TP HCM) cho hay nơi đây vừa phẫu thuật lấy ra dị vật là nhành cây dài 16 cm nằm trong bụng bé gái 3 tuổi trong suốt hơn 4 tháng.
|
Các bác sĩ Bệnh viện Nhi Đồng 2 phẫu thuật lấy dị vật cành cây dài 16 cm trong bụng bé gái |
Bệnh nhi là bé H.M.L (3 tuổi, quê Đắk Lắk). Khoảng 4 tháng trước, bé L. bị té ngã xuống ao gần nhà, được người thân phát hiện, đưa vào bệnh viện địa phương điều trị trong 2 tháng và đã xuất viện.
Một tháng sau, bé L. sốt cao, ho nhiều, nhập viện trở lại bệnh viện địa phương và được chẩn đoán viêm phổi. Kiểm tra siêu âm, các bác sĩ phát hiện một khối lạ trong ổ bụng, nghi dị vật nên lập tức chuyển bé đến Bệnh viện Nhi Đồng 2.
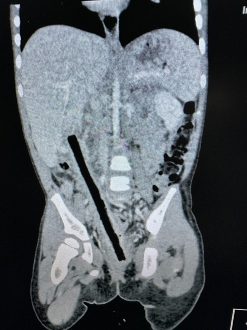
Theo BSCK1 Nguyễn Hiền, Khoa Ngoại tổng hợp - Bệnh viện Nhi Đồng 2, kết quả CT scan cho thấy trong ổ bụng bệnh nhi có dị vật kích thước 1x16 cm nằm vùng từ trực tràng đến gan.
Ê-kíp nội soi xác định dị vật đâm xuyên trực tràng, ruột non và tá tràng viêm dính nhiều, gây khó khăn cho phẫu thuật. Các bác sĩ tiến hành mổ mở bóc tách dọc theo dị vật, tách dính toàn bộ ruột, tránh làm tổn thương các mạch máu thần kinh và niệu quản, hạn chế các tổn thương các bộ phận khác.
Sau 4 giờ phẫu thuật, các bác sĩ đã lấy ra nguyên vẹn nhành cây dài 16 cm. Bệnh nhi được xử lý cầm máu, khâu các vết thương và làm hậu môn tạm. Hiện bé đang dần hồi phục và dự kiến sẽ xuất viện sau 1 tuần.
|
Hiện bé đang dần hồi phục sau khi được lấy nhành cây dài 16 cm ra khỏi bụng |
Khoảng 1 tháng sau, bệnh nhi sẽ được đóng hậu môn tạm, sau đó có thể sinh hoạt lại bình thường và không để lại di chứng.
Các bác sĩ nhận định may mắn dị vật không đâm vào các mạch máu lớn nên không ảnh hưởng đến tính mạng. Bên cạnh đó, do bệnh nhi bị viêm phổi hít nên cho dùng kháng sinh phổ rộng để điều trị nhiễm trùng, vô tình ức chế việc nhiễm trùng do dị vật gây ra.
"Dị vật đâm xuyên vùng hậu môn từng được ghi nhận ở trẻ nhỏ, thường gặp khi các em vui chơi, tắm ở ao hồ, sông suối. Tuy nhiên, trường hợp bé L. là rất hy hữu vì nhành cây dài và nằm trong ổ bụng trong thời gian khá lâu. Nếu dị vật để lâu trong ổ bụng có thể xuyên vào các cơ quan bên trong, gây nhiễm trùng nặng, suy đa cơ quan, nguy hiểm tính mạng"-BS Hiền khuyến cáo thêm.
Tác giả: Hải Yến
Nguồn tin: Báo Người lao động










